What Are Tooth-Coloured Fillings and How Long Do They Last?

Written by

Team Labrador Dental

November 10, 2025
4 mins read

Tooth-coloured fillings have become one of the most popular options for repairing cavities and minor tooth damage — especially for people who want a natural-looking, discreet solution. Unlike traditional silver fillings, these modern materials blend seamlessly with your natural teeth, making them almost invisible when you smile or speak.

But what exactly are tooth-coloured fillings, how do they work, and how long do they really last? In this guide, we'll explain what tooth-coloured fillings are made from, when they're used, how durable they are, and what affects their lifespan. We'll also cover how to care for them properly and what signs indicate they may need repair or replacement — so you can make confident, informed decisions about your dental health.

What Are Tooth-Coloured Fillings?

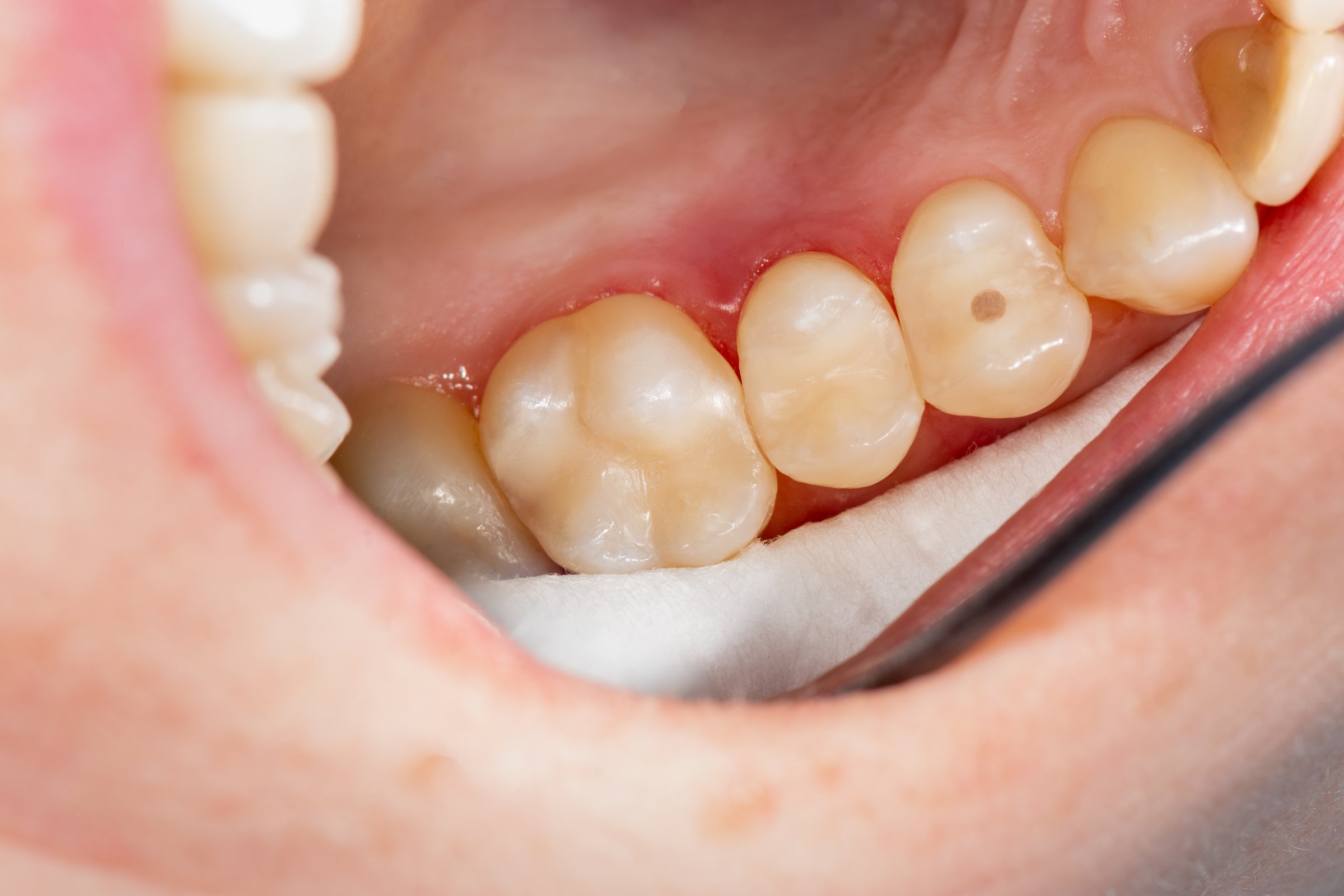
Tooth-coloured fillings are typically made from a composite resin material that closely matches the natural colour of your teeth. They're designed to restore decayed or damaged areas while maintaining a natural appearance.

How Tooth-Coloured Fillings Work

The resin is applied in layers, shaped to match your tooth, and hardened using a special curing light. This bonds the filling directly to your tooth, helping restore strength, shape, and function.

When Are Tooth-Coloured Fillings Used?

They're commonly used for:

  • • Small to medium cavities
  • • Repairing chipped or cracked teeth
  • • Replacing old metal fillings
  • • Restoring front or visible teeth

For more extensive tooth damage, your dentist may recommend a crown instead. Learn more about filling vs crown to understand which treatment is right for your situation.

How Long Do Tooth-Coloured Fillings Last?

On average, tooth-coloured fillings last 5 to 10 years, and sometimes longer with proper care.

Factors That Affect Their Lifespan

  • • Size and location of the filling
  • • Biting and chewing pressure
  • • Oral hygiene habits
  • • Teeth grinding or clenching
  • • Diet (sugary and acidic foods increase wear)

Molars tend to wear fillings faster than front teeth because of higher chewing forces.

Benefits of Tooth-Coloured Fillings

Tooth-coloured fillings offer several advantages over traditional metal fillings.

Aesthetic Benefits

They blend naturally with your teeth, making them virtually invisible.

Functional Benefits

  • • Bond directly to the tooth structure
  • • Require less removal of healthy tooth tissue
  • • Do not expand or contract with temperature as much as metal

Are Tooth-Coloured Fillings Safe?

Yes — composite fillings are safe, biocompatible, and widely used in modern dentistry.

They contain no mercury and are suitable for both adults and children. Dentists carefully select materials that meet strict safety standards.

How to Make Tooth-Coloured Fillings Last Longer

Daily Care Tips

  • • Brush twice daily with fluoride toothpaste
  • • Floss once a day
  • • Avoid biting hard objects (ice, pens, hard lollies)
  • • Wear a night guard if you grind your teeth

Professional Care

  • • Regular dental check-ups
  • • Early repair of chips or cracks
  • • Professional cleaning every 6 months

People Also Ask — Tooth-Coloured Filling FAQs

Do tooth-coloured fillings stain?

They can stain slightly over time, especially with coffee, tea, and smoking, but regular cleaning helps maintain their colour. If you're concerned about tooth discolouration, you may also be interested in learning about teeth whitening options.

Are tooth-coloured fillings as strong as metal ones?

They are very durable for small to medium restorations, though metal may still be preferred for very large fillings in high-pressure areas.

Can tooth-coloured fillings be repaired?

Yes — minor chips or wear can often be repaired without replacing the entire filling.

Do they hurt to get?

No — the procedure is usually quick and painless with local anaesthetic.

Need a Filling or Replacement?

If you think you need a filling or want to replace an old one, our team is happy to help.

Related Articles

Continue exploring dental health and treatments

Teen brunette with braces brushing her teeth in front of the mirror
November 04, 2025 5 mins read

When Do You Need a Filling vs a Crown?

Learn when you need a filling vs a crown, the key differences, and how dentists decide which treatment is right for your tooth.

Read More
Dental implant screw, placement procedure. 3d Illustration
March 16, 2024 6 mins

Are You a Good Dental Implant Candidate?

Discover the key factors dentists assess when determining dental implant candidacy.

Read More
Close up view of a dentist polishing a patient's teeth with a dental drill
March 14, 2024 7 mins

Understanding Root Canal Treatment

Learn what to expect during root canal treatment and modern dental technology.

Read More